St. Peters Crowns and Bridges
Porcelain Crowns
Applied Procedures: Porcelain Crowns
P12456_ss5819bs_t P12456_ss5819ys_t
Before Photo After Photo
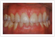
Applied Procedures: Porcelain Crowns
P12456_ss5820bs_t P12456_ss5820ys_t
Before Photo After Photo
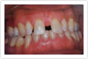
Applied Procedures: Porcelain Crowns, Dental Bridges
P12456_ss5821bs_t P12456_ss5821ys_t
Before Photo After Photo